リンガル矯正(裏側矯正)症例
当院では、口元や横顔の変化が分かる症例を多数掲載しています。
• 口元の突出が改善した症例
• Eラインが整った症例
• 抜歯により横顔が大きく変化した症例
👉 詳しくは症例ページをご覧ください
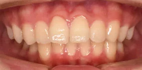
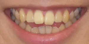
![]() 口唇突出、正中離開 | ![]() 前突 | ![]() 上顎前突 抜歯 |
先天性欠如を伴った叢生症例 | ![]() リンガル装置とアライナー装置のコンビネーション治療 | ![]() 前突+叢生 |
![]() 叢生 | ![]() ガミースマイルを伴った前突症例 | ![]() 過蓋咬合症例 |
![]() ガミースマイルを伴った歯槽性前突症例 | ![]() 上下顎前突 | ![]() 叢生、非対称抜歯 |
![]() 転院の場合 | ![]() 反対咬合 | ![]() 開咬(オープンバイト) |
![]() 上下顎前突 | ![]() 過蓋咬合症例2 | ![]() 開咬(オープンバイト)2 |
![]() MSE(上顎拡大)+リンガル矯正 | ![]() 矮小歯 ハーフリンガル | ![]() 埋伏歯症例 |
![]() 転医症例 |
唇側矯正症例
マウスピース アライナー型矯正装置症例(薬機法未承認器材)






























