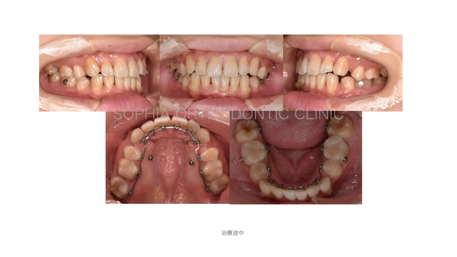
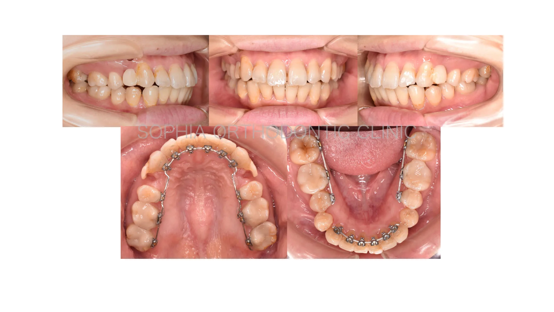
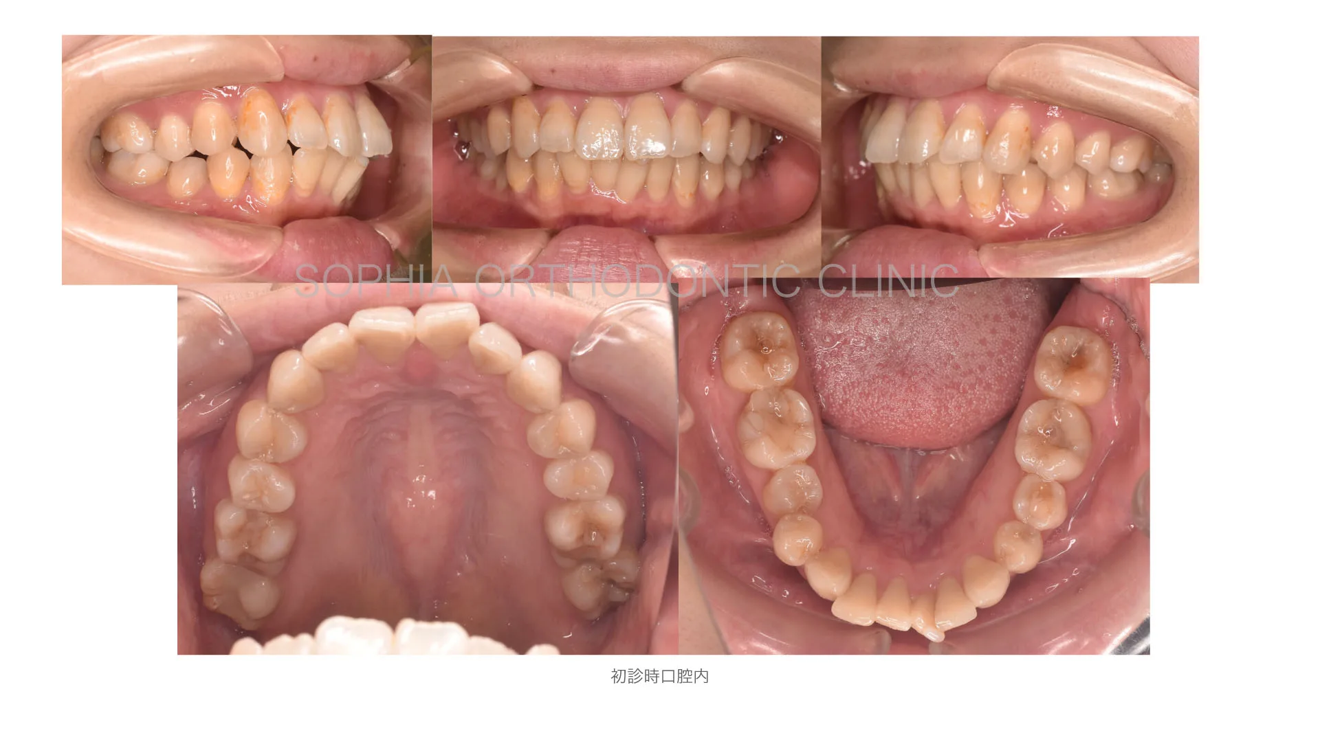
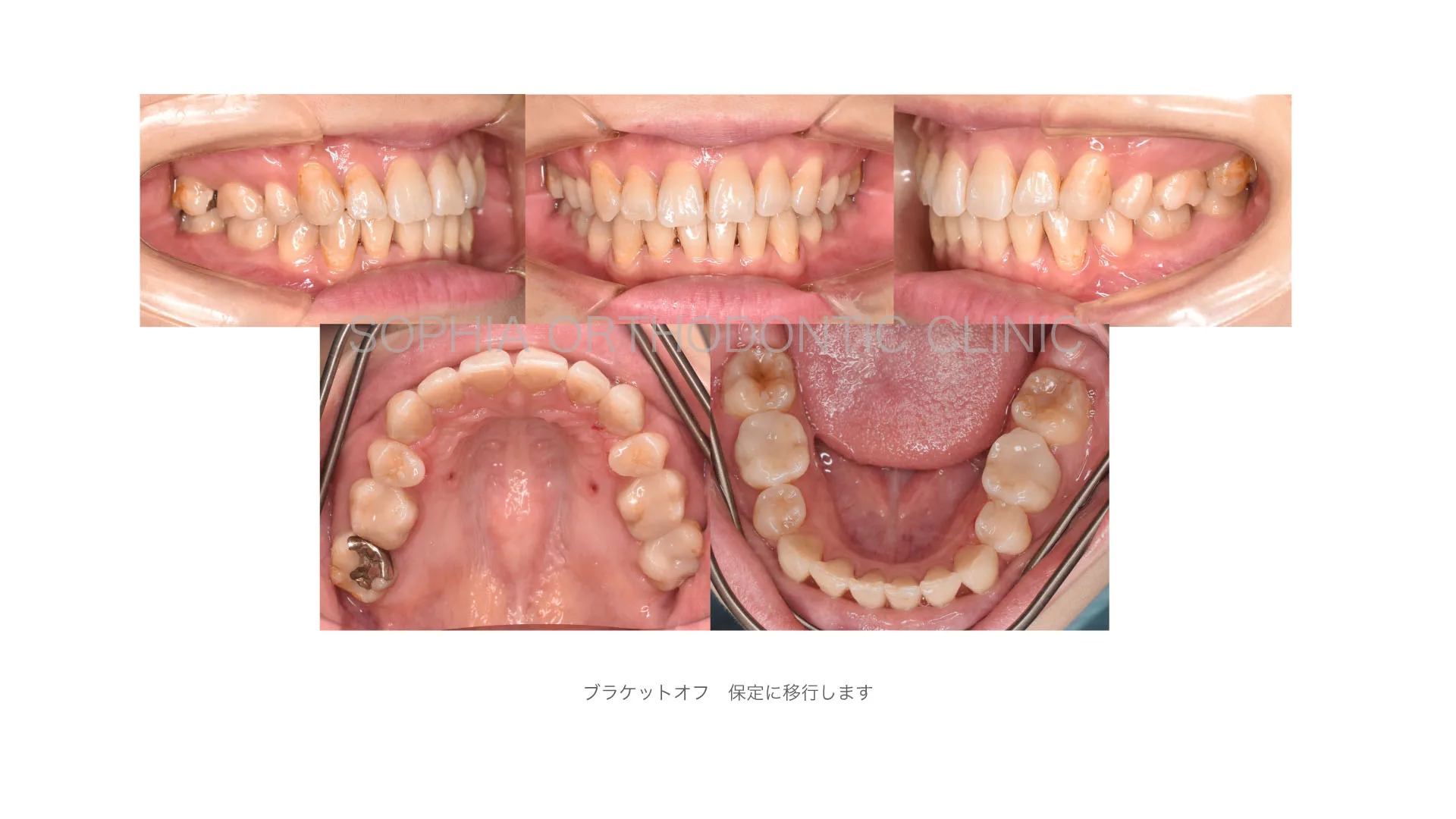
症例 前突