港区の矯正歯科、ソフィア歯列矯正歯科 六本木駅徒歩1分
ソフィア歯列矯正歯科医院
MENU
TOP
矯正治療の流れ
矯正治療の流れ
治療の流れ(症例写真)
小児矯正
メリット・デメリット
口腔筋機能療法(MFT)について
唾液検査
装置の種類
矯正装置の種類
目立たない矯正装置の種類
当院のご紹介
当院のご紹介
ドクター紹介
診療日カレンダー
アクセス
Q&A
WEB予約
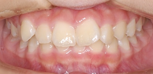
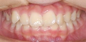
治療例(リンガル、ラビアル)
費用と治療期間
費用と治療期間
医療費控除について
スマイル
個人情報について
ブログ
当院のご予約に関するキャンセルポリシー
f003